search for keyword: 'Survive'
Two people, including police officer, treated for smoke inhalation after Aurora duplex fire
----- Aurora, CO - Two people, including a police officer, were treated at the hospital for smoke i..
Bloomington police officers shoots 15-year-old who was armed with a gun
Finding videos takes time and effort, keep me motivated by donating to https://paypal.me/thisisbutte..
Rump Rocket
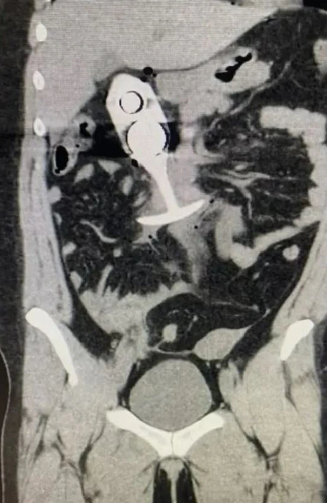
So ,, a 23 yo Australian woman goes in for an MRI scan , they tell her that she cannot have any meta..
Sacramento deputy resigned after smoking fentanyl laced meth, overdosed inside the sheriff station
----- Sacramento County, CA - A Sacramento County sheriff’s deputy resigned last year after a 202..
Delta plane crash in Toronto
All 80 people on board a plane which crashed and overturned while landing in Toronto have survived..
IMPD released bodycam capturing hectic scene of a shooting inside Bubbaz Bar and Grill
----- The shooting occurred on Oct. 14, 2023, inside Bubbaz Bar and Grill. It ended with a police o..
Pasadena police release video showing officers helping to evacuate seniors during Eaton Fire
----- New body camera footage shows the terrifying moment police officers went door to door to resc..
Man beating a woman on camera was fatally shot by off-duty Las Vegas police officer
----- An off-duty Metro police officer and his wife shot and killed a man in their front yard in Bo..
Deadly hit-and-run suspect shot & killed by police, 3 officers hurt after pursuit ends on I-275
----- The Tampa Police Department released video of the pursuit that ended with shots fired on I-27..
Bodycam video shows Dallas officers shooting man who was pointing a gun at random cars
----- The Dallas Police Department has released video of officers shooting a man accused of pointin..
Bodycam video shows deputies rescue driver lost in snow
----- New body camera video obtained by News 8 shows Van Buren County deputies rescuing a man who h..
By: 